Same Day Emergency Appointments Available
Welcome to Florham Park Smile Gallery!
We change lives. It may seem like an overstatement, but just ask these folks. There is nothing more rewarding than being able to empower someone to smile again. Dental health has a direct impact on your mental and physical well-being, and we encourage you to learn more about how we can help. Spend a few minutes reviewing the cases and comments below, and please call us for a free consultation to see if we might be able to do the same for you.
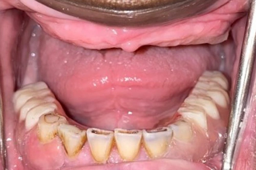
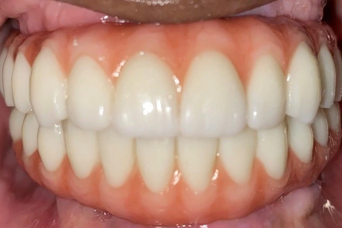
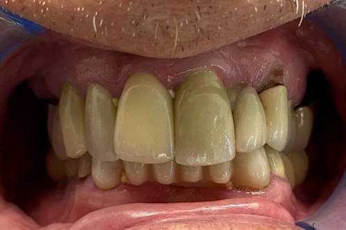
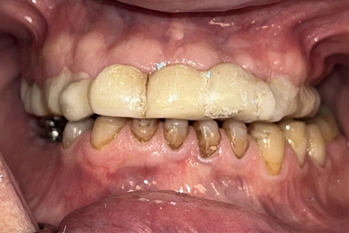
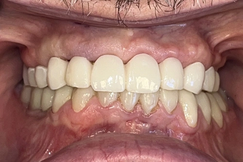
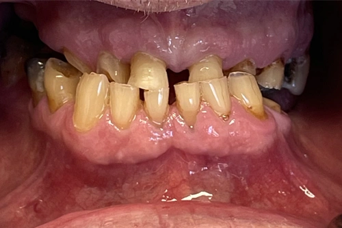
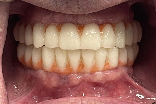
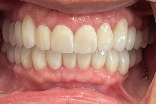
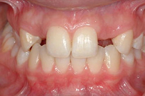
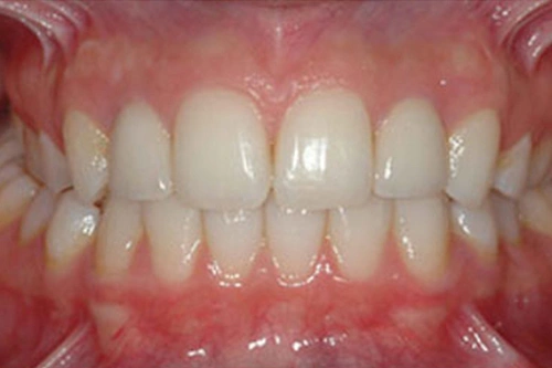
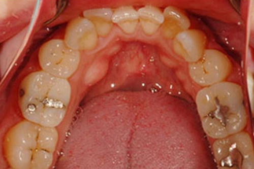
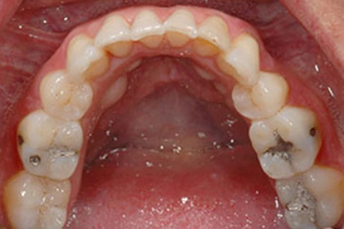
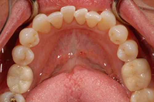
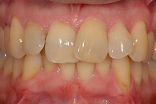
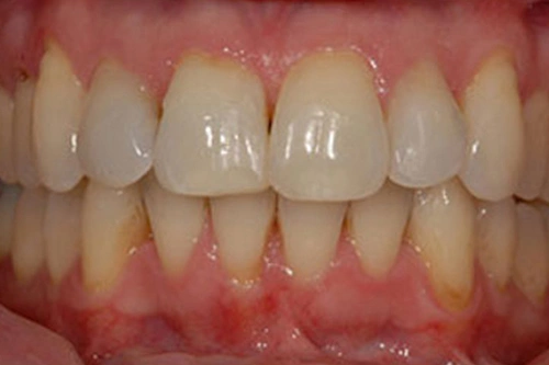
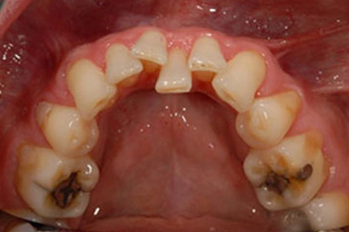
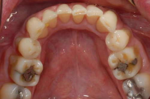
Dental Implant Before & After Pictures

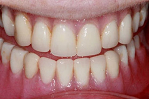
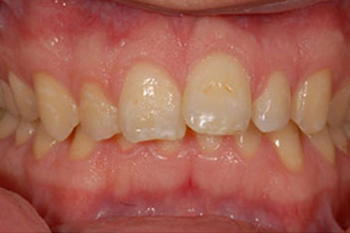
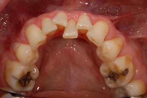
Before

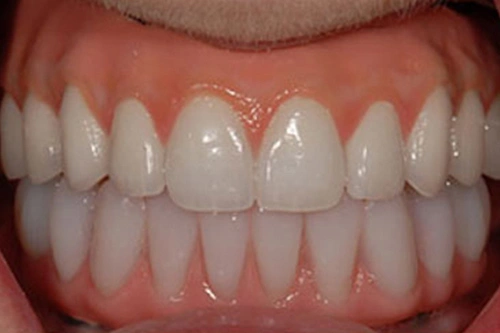
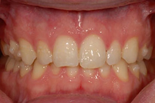
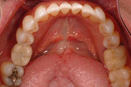
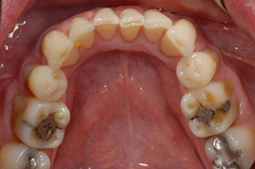
After

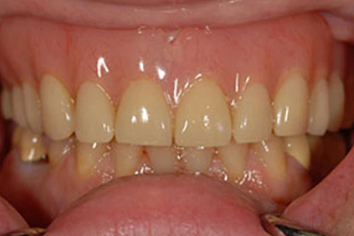
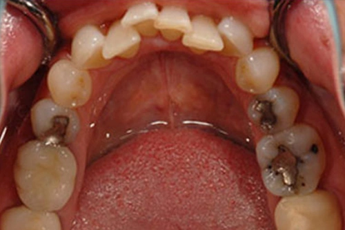
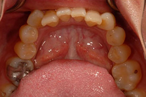
Before

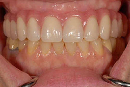
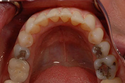
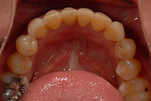
After

Before

After

Before

After

Before

After

Before

After

Before

After

Before

After

Before

After

Before

After

Before

After

Before

After

Before

After

Before

After

Before

After

Before

After

Before

After

Before

After

Before

After
Invisalign Before & After Pictures

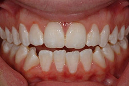
Before

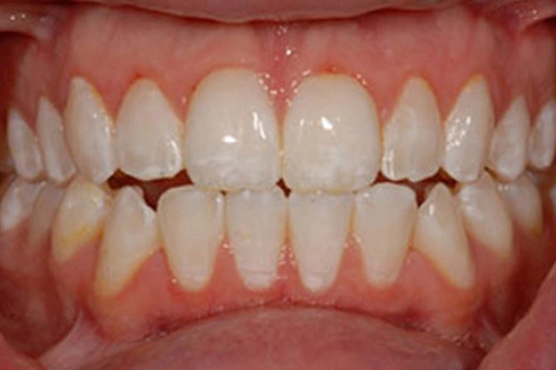
After

Before

After

Before

After

Before

After

Before

After

Before

After

Before

After

Before

After

Before


